تشخیص کروناویروس 4 روز زودتر از پیش امکان‌پذیر شد
شنبه 10 اسفند 1398 - 10:25:04 AM
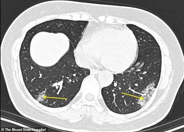
تبسم مهر - به گزارش ایسنا و به نقل از دیلی میل، بنابر گزارش‌ها سی تی اسکن 4 روز زودتر می‌تواند به پزشکان در شناسایی بیماران مبتلا به کرونا ویروس کمک کند چراکه پزشکان توسط آن می‌توانند میزان تخریب بافت ریه افراد مبتلا به این بیماری را به راحتی مشاهده کنند.
یک مطالعه جدید نشان می‌دهد که سی تی اسکن ممکن است در تشخیص سریعتر کروناویروس به کادر پزشکی کمک کند. پزشکان بیمارستان مونت سینای در نیویورک اولین کسانی بودند که در ایالات متحده اسکن ریه بیماران مبتلا به این بیماری بسیار مسری را تجزیه و تحلیل کردند. آنها گفتند که می‌توانند الگوهای خاصی در ریه‌ها را به عنوان نشانگر ویروس، که با نام COVID-19 نیز شناخته می‌شود، شناسایی کنند.
محققان می‌گویند که این تشخیص سریعتر می‌تواند به آنها کمک کند تا فرایند قرنطینه کردن بیماران را زودتر و پیش از ظهور دیگر علائم این بیماری آغاز کنند. آنها با سی تی اسکن می‌توانند میزان تخریب بافت ریه افراد را مشاهده کنند و این کاری است که توسط اسکن‌های دیگر مانند اسکن اشعه ایکس قفسه سینه امکان‌پذیر نیست. بنابر گفته پزشکان ظاهرا ریه بیماران مبتلا به کرونا الگو و نشانه خاصی دارد که با بررسی سی تی اسکن می‌توان این بیماری را چند روز زودتر تشخیص داد.
طی این مطالعه که در مجله Radiology منتشر شده است، پژوهشگران سی تی اسکن 94 بیمار را در چهار مرکز پزشکی در چهار استان چین مورد تجزیه و تحلیل قرار دادند. بیماران بین 18 ژانویه و 2 فوریه بستری شده بودند و همه یا اخیرا به ووهان - مرکز شیوع بیماری - سفر کرده بودند یا با یک فرد آلوده در تماس بودند. رادیولوژیست‌ها اسکن را بررسی کردند و بر اساس زمان بروز علائم و زمان انجام سی تی اسکن، یادداشت‌برداری کردند. آن‌ها دریافتند توسط سی تی اسکن می‌توانند چند روز زودتر وضعیت تخریب بافت ریه را مشاهده کنند. این کار می‌تواند به پزشکان در تشخیص زودتر بیماران کمک بسیار بزرگی کند؛ چراکه با تشخیص زودتر عملیات قرنطینه و درمان زودتر آغاز می‌شود. تاکنون بیش از 82 هزار نفر در سراسر جهان به این ویروس آلوده شده‌اند و بیش از 2 هزار و 800 نفر نیز جان باخته‌اند.
کرونا ویروس
کروناویروس‌ها خانواده بزرگی از ویروس‌ها هستند که از ویروس سرماخوردگی معمولی تا سندرم حاد و شدید تنفسی یا همان SARS (سارس) را شامل می‌شوند. کروناویروس‌ها در سال 1965 کشف شدند و مطالعه بر روی آنها به‌طور مداوم تا اواسط دهه 1980 ادامه داشت. مقامات چین پس از انتشار این خبر در جهان، به سرعت کد ژنتیکی ویروس (توالی ژنوم ویروس جدید کرونا) را منتشر کردند. کروناویروس‌ها دستگاه تنفسی فوقانی و تحتانی را در انسان‌ها درگیر می‌کنند و عامل یک سوم سرماخوردگی‌های شایع هستند. بنابر گفته‌ها زمان و دوره کمون این بیماری بین 14 تا 20 روز است.
ساختار کروناویروس‌ها دارای یک ژنوم RNA معمولی است. افرادی که همزمان دارای بیماری دیگری باشند و کودکان مبتلا به بیماری‌های قلبی، بیشتر در معرض خطر ابتلا به کروناویروس‌ها هستند. معمولاً شدت سرماخوردگی که کروناویروس عامل آن باشد، بیشتر است. کروناویروس‌ها که پس از راینو ویروس‌ها بزرگترین عامل ابتلا به سرماخوردگی هستند، بیشتر در زمستان و بهار باعث سرماخوردگی می‌شوند. اگرچه کروناویروس‌ها بیشتر در حیوانات دیده می‌شوند، اما پنج نوع از آن‌ها دستگاه تنفسی بدن انسان را تحت تأثیر قرار می‌دهند. تشخیص اینکه علت بیماری کروناویروس باشد یا خیر، کمی مشکل است؛ چرا که برخلاف راینو ویروس‌ها به سختی در آزمایشگاه رشد و نمو می‌کنند. این ویروس همچنین از حیوانات به انسان قابل انتقال است. بیماری‌زایی این ویروس، سیستم تنفسی را تحت تأثیر قرار می‌دهد و علایمی مشابه سرماخوردگی ساده ایجاد می‌کند. علایم ویروس کرونا شامل آبریزش بینی، سرفه و گلو درد است که می‌تواند با سر درد و تب نیز همراه باشد و تا چند روز به طول می‌انجامد. در افرادی با نقص سیستم ایمنی، افراد مسن و کودکان این علایم می‌تواند شدیدتر شده و ذات‌الریه و برونشیت را ایجاد کند.
انتهای پیام

http://tabasomemehr.ir/fa/News/76750/تشخیص-کروناویروس-4-روز-زودتر-از-پیش-امکان‌پذیر-شد
بستن   چاپ